目次
お子さんの歯を磨いていて、まだ乳歯が残っているのにその後ろから新しい歯が顔を出している。

そんな経験はありませんか?
とくに年度末の歯科健診前は、お問い合わせが増える時期です。
この記事では、乳歯が抜けないまま永久歯が生えてくる現象について解説していきます。
なぜ乳歯が抜けないのに永久歯が生えてくるの?

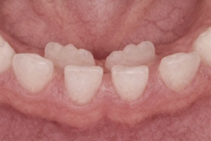
2枚歯ってどういう状態?
正式には乳歯晩期残存と呼ばれるこの状態。
見た目は、まるで歯が二重に並んでいるように見えます。
だから、親御さんの間では2枚歯と呼ばることも多いと思います。
通常、永久歯は乳歯の真下で成長します。
そして、乳歯の根っこを少しずつ溶かしながら上に押し上げていくのです。
この仕組みがうまく働けば、乳歯は自然にグラグラして抜けていきます。
しかし、時には永久歯が乳歯の横から生えてくることがあるんです。
とくに下の前歯でよく見られる現象です。
なぜこんなことが起きるの?
乳歯が抜けないまま永久歯が生えてくる理由は、主に以下の4つが考えられます。
1. 永久歯の生える位置がずれている
乳歯の真下ではなく、内側や外側にずれて成長してしまうケースです。
とくに下の前歯は、内側から生えてくることが多いんです。
この場合、乳歯の根っこを溶かすことができず、2枚歯の状態になります。
2. 乳歯の根っこが丈夫すぎる
健康な乳歯ほど、根っこがしっかりしているため溶けにくいこともあります。
虫歯のない元気な乳歯が、かえって抜けにくくなるというわけです。
皮肉なことですが、これは良い状態とも言えますね。
3. 顎の成長スピードが追いついていない
現代のお子さんは、柔らかい食べ物が中心の食生活です。
そのため、顎が十分に発達しないまま永久歯が生えてくることがあります。
スペース不足で、永久歯が本来の位置に生えられない状態です。
4. 遺伝的な要因
親御さんも同じような経験をしていた場合、お子さんにも起こりやすい傾向があります。
歯や顎の形は、遺伝の影響を受けやすいんです。
ご自身の子ども時代を思い出してみるのも、参考になるかもしれません。
2枚歯を見つけたら、まず確認したいこと
乳歯はグラグラしていますか?
最初に確認していただきたいのは、乳歯の状態です。
少しでもグラグラしていれば、自然に抜ける可能性があります。
実は、多くのケースでは1〜2週間で自然に抜けていきます。
乳歯を触ると動く感じがあるか、痛みはないか。お子さんに聞いてみてください。
ただし、無理に指で押したり引っ張ったりするのは避けましょう。
歯ぐきを傷つける可能性があります。
永久歯の位置を観察してください
次に、永久歯がどこから生えているか見てみましょう。
乳歯の真後ろ、つまり舌側から生えていることが多いです。
とくに下の前歯は、内側から生えてくる傾向があります。
そして乳前歯に適切な隙間があるか確認してください。
隙間がある場合は経過観察で問題ありません。
顎の成長とともに、永久歯は徐々に正しい位置に移動していくことがほとんどです。
一方、外側から生えてきている場合、乳前歯の間隔が狭い場合は注意が必要です。
歯並びに影響する可能性が高くなります。
早めに歯医者さんに相談しましょう。
お子さんの痛みや違和感を聞き取る
痛みの有無は重要な判断材料です。
食事のときに痛がっていませんか?
歯磨きを嫌がるようになっていませんか?
強い痛みがある場合は、早めの受診をおすすめします。
口内炎のようになっていないか、確認してあげてください。
いつ歯医者さんに相談すべき?5つの目安
2週間経っても乳歯が抜けない
永久歯が見え始めてから1週間。
これが一つの目安です。
もちろん、すぐに抜けないからといって問題があるわけではありません。
しかし、専門家に診てもらう良いタイミングです。
うえさか歯科では、まず状態を詳しく観察します。
そして、自然に抜けるのを待つか抜歯が必要か判断していきます。
食事に支障が出ている
お子さんが食べにくそうにしている。
固いものを避けるようになった。
こんな変化が見られたら、早めの相談が必要です。
食事は成長に直結する大切な要素。
痛みや違和感で食べられないのは避けたいですよね。
歯磨きができない、または嫌がる
2枚歯の状態では、歯ブラシが届きにくくなります。
食べかすが溜まりやすく、虫歯のリスクが高まります。
お子さんが歯磨きを嫌がるようになったら要注意。
痛みがある可能性があります。
また、磨き残しから歯ぐきが腫れることもあります。
永久歯が明らかに変な方向に生えている
極端に斜めだったり、横向きだったりする場合は早期の対処が必要です。
放置すると、歯並び全体に影響することがあります。
レントゲンで詳しく確認する必要があるでしょう。
親御さんの不安が強い場合
実は、これも立派な受診理由です。
お子さんの様子を一番よく知っているのは親御さん。
何か違和感を感じたら、それは大切なサインです。
うえさか歯科では、小さな心配事でも丁寧にお答えしています。
不安を抱えたまま過ごすより、専門家に相談して安心する方がずっと良いですよね。
歯医者さんではどんな治療をするの?
まずは詳しい診察から
来院されたら、まず口の中を詳しく観察します。
乳歯の動き具合、永久歯の位置、歯ぐきの状態。
これらを総合的に判断していきます。
必要に応じてレントゲン撮影も行い、見えない部分の歯の根っこや顎の中の状態を確認します。
うえさか歯科では、お子さんが怖がらないようまず器具を見せて説明し、できることから少しずつ進めていきます。
自然に抜けるのを待つケース
診察の結果、多くの場合はしばらく様子を見ます。
乳歯が少しでもグラグラしていれば、自然に抜ける可能性が高いからです。
ただし、待つだけではなく家庭での観察ポイントをお伝えします。
2枚歯の状態では通常より丁寧なケアが必要なため、歯磨きの方法もアドバイスさせていただきます。
定期的に経過を見せていただくことで、安心して過ごしていただけると思います。
乳歯を抜歯するケース
一方、抜歯が必要と判断することもあります。
たとえば、2週間以上経っても全く動かない場合。
または、永久歯の成長を明らかに妨げている場合。
痛みが強く、食事に支障が出ている場合も抜歯を検討します。
お子さんの乳歯の抜歯は、実は思っているほど大変ではありません。
根っこが溶けかけていることが多いため、短時間で終わります。
うえさか歯科では、表面麻酔をしっかり効かせてから処置します。
そして、お子さんが頑張れる範囲で進めていきますよ。
抜歯後の注意点
抜歯した後は、少し出血することがあります。
清潔なガーゼを噛んでいただき、止血します。
当日は激しい運動を控えていただきます。
また、熱いものや刺激的な食べ物も避けてください。
翌日から普通に歯磨きできますが、抜歯した部分は優しく扱いましょう。
だいたい3〜4日で傷口は落ち着きます。
2枚歯を予防することはできるの?
顎の成長を促す食生活
実は、予防の観点からも大切なことがあります。
まず、しっかり噛む習慣をつけること。
現代の子どもたちは、柔らかいものばかり食べがちです。
その結果、顎が十分に発達しないことがあるんです。
なので、年齢に応じて固めの食材を取り入れましょう。
たとえば、にんじんスティックやりんごの丸かじり。
おせんべいやスルメなども良いですね。
よく噛むことで、顎の骨が刺激されて成長します。
さらに、唾液の分泌も促進されます。
唾液には虫歯予防の効果もあるんですよ。
定期的な歯科健診の重要性
予防で最も大切なのは、定期的な健診です。
うえさか歯科では、3〜6ヶ月ごとの健診をおすすめしています。
乳歯から永久歯への生え変わり時期は、とくに重要です。
この時期に定期的に診ることで、問題を早期に発見できます。
また、お子さんの成長に合わせたアドバイスができます。
次の歯がいつ頃生えそうか、どんな準備が必要か。
こうした情報を事前に知っておくと、親御さんも安心だと思います。
適切な歯磨き習慣
乳歯の健康を保つことも大切です。
虫歯になった乳歯は、根っこが溶けにくくなることがあります。
その結果、永久歯が生えてきても抜けにくくなるんです。
ですから、小さい頃からの歯磨き習慣が重要。
仕上げ磨きは、小学校低学年まで続けましょう。
とくに奥歯や歯と歯の間は丁寧に。
フッ素入りの歯磨き粉を使うのも効果的です。
よくある質問にお答えします
Q1. 乳歯が抜けないとどうなりますか?
多くの場合、すぐには大きな問題にはなりません。
しかし、長期間放置すると
永久歯が正しい位置に移動できないため、歯並びに影響することがあります。
また、歯磨きしにくい状態が続くと虫歯のリスクも高まります。
気になったら、早めに相談することをおすすめします。
Q2. 抜歯は痛くないですか?
お子さんの乳歯の抜歯は、ほとんど痛みがありません。
根っこが溶けかけているため、すぐに抜けるんです。
また、しっかり麻酔をかけるので、処置中の痛みはほぼありません。
うえさか歯科で使用する麻酔
当院では、お子さんの負担を最小限にするため、段階的に麻酔を行います。
まず、表面麻酔を歯ぐきに塗ります。

表面麻酔
これは、注射針を刺すときのチクッとした痛みをなくすためのものです。
ジェル状の麻酔薬を塗るだけなので、お子さんも怖がりません。
表面麻酔が効いてから、本麻酔の注射をします。
このとき、すでに歯ぐきの感覚が鈍くなっているため、ほとんど痛みを感じないんです。
さらに、緊張が強いお子さんには笑気麻酔も選択できます。

笑気麻酔
笑気麻酔は、鼻から甘い香りのガスを吸うだけです。
リラックスした状態になり、不安や恐怖心が和らぎmくぅ。
意識はしっかりしているので、会話もできます。
抜歯後の痛みについて
抜歯後も、市販の痛み止めで十分対応できる程度です。
多くの場合、痛み止めを飲まなくても大丈夫なことが多いです。
うえさか歯科では、お子さんが怖がらないよう配慮しながら進めます。
痛みへの不安は、遠慮なくご相談ください。
Q3. 永久歯は正しい位置に戻りますか?
内側から生えてきた永久歯の多くは、自然に前に移動します。
舌の力や唇の力で、徐々に押されていくんです。
ただし、完全に正しい位置に戻るかは個人差があります。
スペースが足りない場合は、矯正治療が必要になることもあります。
定期的に経過を見ながら、必要に応じて対応していきます。
Q4. 家で乳歯を抜いても大丈夫ですか?
グラグラしている乳歯なら、自然に抜けるのを待つのがベストです。
無理に引っ張ると、根っこが折れて残ることがあります。
また、歯ぐきを傷つけるリスクもあります。
どうしても気になる場合は、歯科医院での抜歯をおすすめします。
安全で確実、そしてお子さんの負担も少ないですよ。
Q5. 費用はどれくらいかかりますか?
お子さんの歯科治療の多くは、保険が適用されます。
診察や抜歯も保険診療の範囲内です。
うえさか歯科だからできる、安心の小児歯科
お子さん目線の優しい診療

うえさか歯科では、お子さんが怖がらない工夫をしています。
まず、診療室に入る前に、器具を見せて説明します。
どんな音がするか、何をするのか。
事前に知っておくだけで、不安は大きく減りますよね。
また、できることから少しずつ進めていきます。
いきなり大きな処置はしません。
お子さんのペースに合わせて、段階的に慣れていってもらいます。
初めての歯医者さんでも、安心して通えるようサポートします。
親御さんへの丁寧な説明
治療方針は、必ず親御さんに詳しく説明します。
今どういう状態なのか、どんな選択肢があるのか。
それぞれのメリットとデメリットも含めてお伝えします。
そして、親御さんと一緒に最善の方法を考えていきます。
小さな疑問や不安も、遠慮なくお聞きください。
わかりやすく、納得いくまでご説明させていただきます。
予防を重視した継続的なサポート
うえさか歯科が大切にしているのは、予防の視点です。
問題が起きてから対処するのではなく、起きないようにする。
これが理想的な小児歯科だと考えています。
定期健診では、虫歯のチェックだけでなく、成長の確認も行います。
乳歯から永久歯への生え変わりの様子を継続的に観察します。
また、ご家庭でのケア方法もアドバイスさせていただきます。
お子さんの成長に寄り添いながら、長期的にサポートしていきます。
アクセスしやすい立地
当院は瀬川保育園、せいなん幼稚園、西南小学校、第三中学校に近く通いやすさも魅力です。
地域に根ざした歯科医院として、多くの親子に選ばれています。
お子さんの定期健診は、通い続けることが大切です。
焦らず、でも放置せず、専門家に相談を
乳歯が抜けないまま永久歯が生えてくる。
この2枚歯の状態、実は珍しくありません。
多くの場合、自然に解決していきます。
しかし、だからといって完全に放置するのはおすすめできません。
お子さんの成長は一人ひとり違います。
適切なタイミングで、適切な対処をすることが大切なんです。
もし今、お子さんの口の中に2枚歯を見つけたら。
まずは1週間、様子を見てください。
その間、乳歯が動くか、痛みはないか観察しましょう。
そして、不安があれば遠慮なく相談してください。
うえさか歯科は、箕面市で子どもたちの歯の健康を守り続けています。
小さな心配事から、本格的な治療まで。
親御さんとお子さんの両方が安心できる診療を心がけています。
年度末の歯科健診で指摘される前に、一度チェックしてみませんか?
早めの相談が、お子さんの笑顔につながります。
お電話でのご相談も受け付けています。
歯科医院に行くべきか迷っている。
そんなときも、お気軽にお問い合わせください。
お子さんの歯の健康、一緒に守っていきましょう。
LINE相談希望の方は下記バナーをクリックしてください。
医院でのご相談は下記よりお電話か、ネット予約フォームをご利用ください。
お電話
072-725-8148
ネット予約は下記から
ネット予約


















