症例Instagram
マウスピース矯正
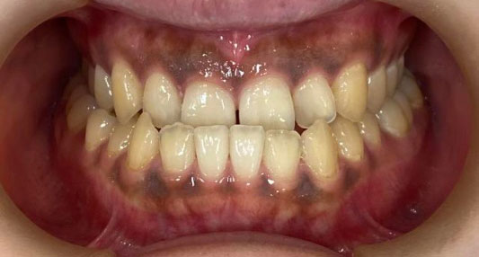
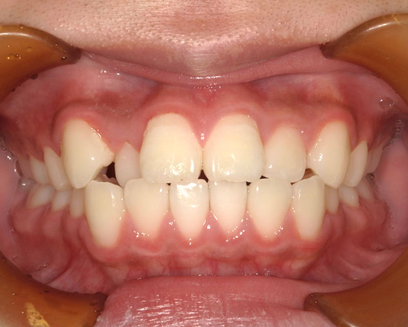
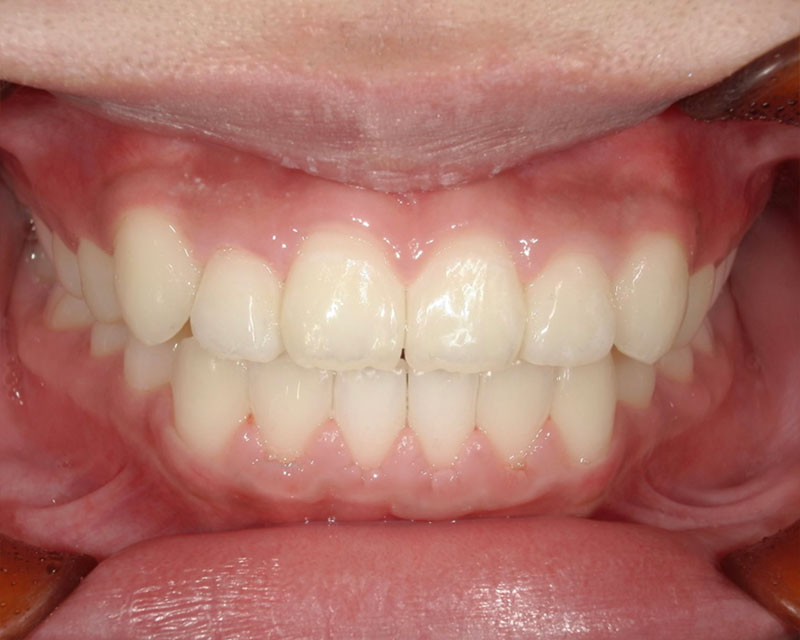
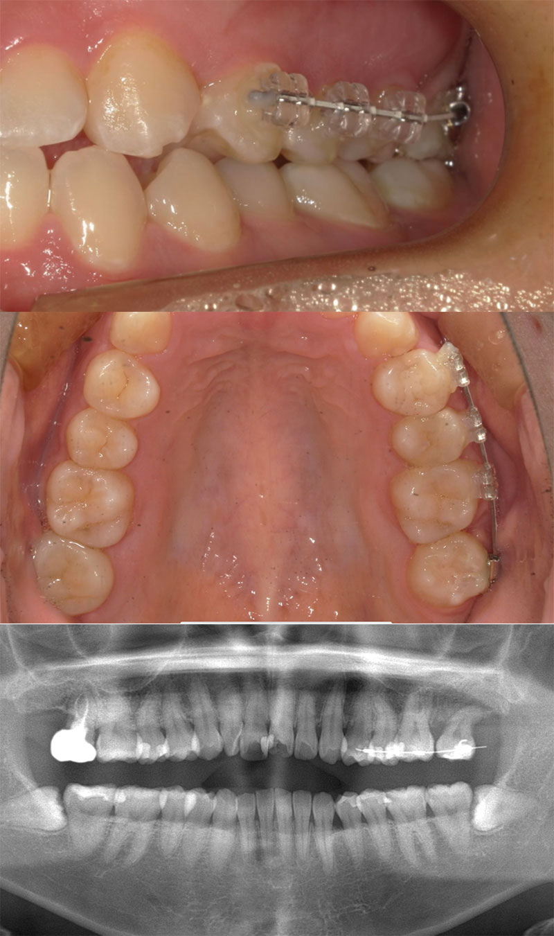
マウスピース+アンカースクリュー


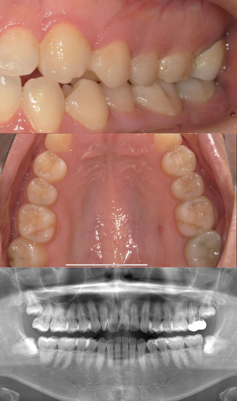
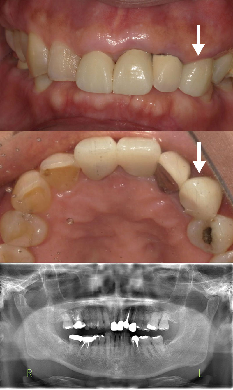
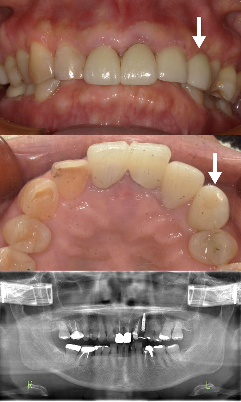
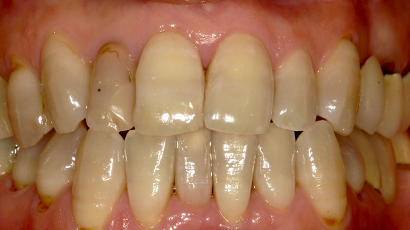
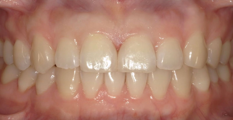
患者さんの悩みは抜歯した歯の部分を矯正で治したいのと、八重歯が気になること、上の歯の正中(真ん中)が合っていないことでした。
マウスピース矯正希望とのことだったので、アンカースクリューを用いてしっかりした固定を得て、空いたスペースに歯を動かすことをご提案いたしました。
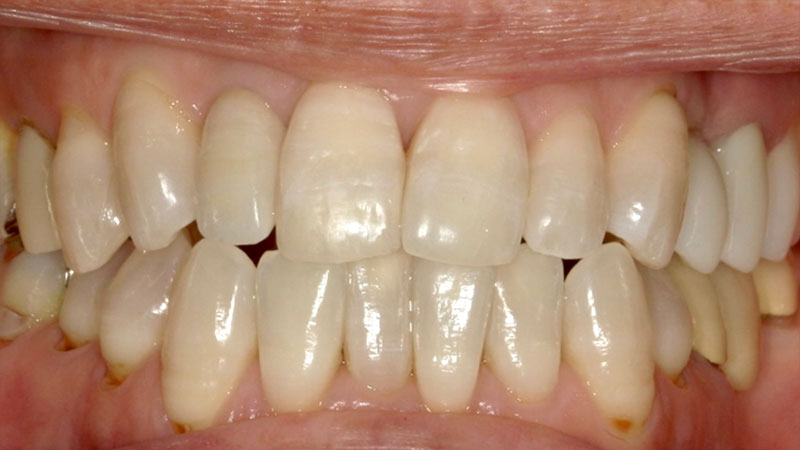
患者さんの悩みであった前歯の見た目としっかりスペースを閉じ噛み合わせが改善されてとても喜ばれていました。
| 患者様 | 30代男性 |
|---|---|
| 主訴 | 上下前歯の重なりが気になる |
| 所見 | 右上第一小臼歯が欠損しているため、スペースを利用して犬歯・第一小臼歯、を遠心に移動する必要あり |
| 治療装置 | インビザライン、アンカースクリュー |
| 装置装着部位 | 全顎 |
| 治療費 | 矯正費88万円(税込) アンカースクリュー埋入費:33,000円(税込) |
| 治療期間 | 約2年4か月(約30回通院) |
| 治療リスク |
|
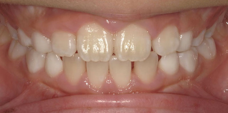
受け口の矯正


患者さんの悩みは下の前歯が出ていること、いわゆる受け口が気になるとのことでした。
非抜歯矯正を望まれたので非抜歯矯正の得意なマウスピース矯正のインビザラインをご提案いたしました。
患者さんの悩みであった前歯の見た目が改善されたこと、しっかり奥歯で噛めることでとても喜ばれていました。
| 患者様 | 40代男性 |
|---|---|
| 主訴 | 下の前歯が出ているのが気になる |
| 所見 | 反対咬合 |
| 治療装置 | インビザライン |
| 装置装着部位 | 全顎 |
| 治療費 | 88万円(税込) |
| 治療期間 | 約2年(約30回通院) |
| 治療リスク |
|
部分矯正
上下部分矯正


患者様は「右上2番目の歯が内側に入っていること」および「前歯の突出感(クチゴボ)」を主訴として来院されました。
本来であれば抜歯を含めた全顎矯正が望ましいケースでしたが、患者様のご希望により短期間での部分矯正を行いました。
部分矯正では上下顎前突の大きな改善は難しい旨を事前にご説明し、ご了承のうえ治療を開始しました。
治療の結果、交叉咬合(シザーズバイト)となっていた上下前歯部は、正常被蓋(上の歯が下の歯を適切に覆う状態)を獲得することができ、歯列の整った状態に仕上がりました。
患者様には「きれいに並んだ歯」をご覧いただき、大変ご満足いただけています。
| 患者様 | 10代女性 |
|---|---|
| 主訴 | 右上2番目の歯の内側転位 |
| 所見 | 左右2番交叉咬合、上下顎前突 |
| 治療装置 | マルチブラケット |
| 装置装着部位 | 上下3〜3の12本 |
| 治療費 | 33万円(税込) |
| 治療期間 | 約6か月(約10回通院) |
| 治療リスク |
|
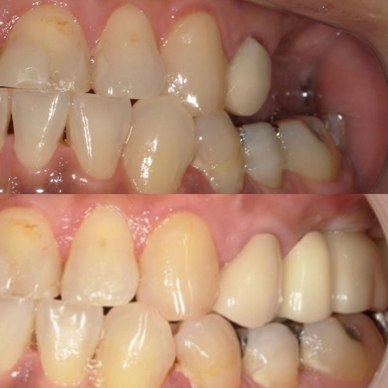
臼歯の部分矯正


親知らずの矯正症例になります。
前医で入れられた左上の第二大臼歯セラミックの歯の歯根が割れて膿んでいる状況で治すには抜歯しかなかった為、抜歯をしました。
抜歯後、親知らずが見えていたので牽引して動かすことができる状況でした。
通常保険診療では部分入れ歯や移植などが選択肢になってきますが、部分矯正MTMをご提案しました。
矯正で動かしてくることにより神経を温存し、ご自身の歯でお食事を楽しむことができるようになります。
患者さんも神経を取ってダメになったところがまた復活したと喜んでおられました。
| 患者様 | 30代女性 |
|---|---|
| 主訴 | 左上奥が噛むと痛い |
| 治療方法 | MTM矯正 |
| 治療費 | 125,400円(税込) |
| 治療期間 | 約4か月 |
| 治療リスク |
|
小児矯正
プレオルソによる矯正治療


小児矯正の一つ、プレオルソにて治療をした症例をご紹介します。
プレオルソとは機能的マウスピース矯正治療のひとつでマウスピースを夜寝る前に1時間とそのまま就寝してもらうことで治療していきます。
お口の中は口輪筋を中心に色々な筋肉のバランスと下の筋肉や位置関係で歯並びが変わってきます。
その筋肉をバランスよく鍛え、悪い癖などをとるのがこの装置です。
骨格的な問題がなければ筋肉のバランスを整えることである程度は歯並びが良い状態になります。
矯正しなくても歯並びが綺麗な人はこの状態に近いです。
装置を入れるだけでなく、効果的なお口の体操などのトレーニングも併用していく必要はあります。
治療期間は個人差がありますが早いと3ヶ月ほどで効果が見られるケースもあります。
| 患者様 | 8歳男性 |
|---|---|
| 主訴 | 前歯が開いているのと出ているのが気になる |
| 治療装置 | プレオルソ |
| 治療費 | 11万円(税込) |
| 治療期間 | 6ヶ月経過時 |
| 総治療期間 | 永久歯に全て生え変わるまで |
| 治療リスク |
|
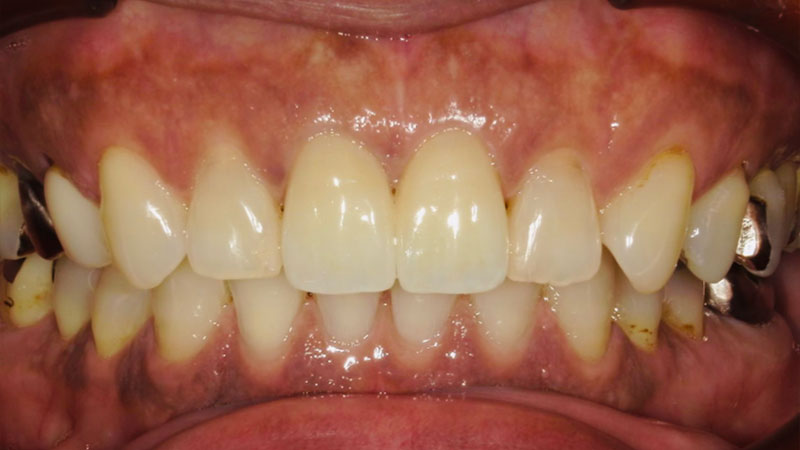
インプラント
臼歯のインプラント


「抜歯した奥歯にインプラントを入れたい」とご相談いただきました。
過去に歯根破折(歯の根が折れたり欠けたりひび割れたりすること)が原因で、他院で左上の奥歯を抜歯され、当院へはインプラント治療をご希望されてご来院いただいた患者様です。
拝見したところ、左上の奥歯が抜歯後そのままの状態でした。
食いしばりがとても強く、その結果歯の根が折れてしまったようです。
患者様がインプラントをご希望だったため、ストローマン社製のインプラントを用いて奥歯を再建する治療をご案内し、スムーズに治療に進みました。
また今回の患者様は骨の量が少なかったため、骨造成術(サイナスリフト)を併用しています。
かみ合わせの異常はなく、現在もメンテナンスでご通院いただいています。
| 患者様 | 50代男性 |
|---|---|
| 主訴 | 抜歯した奥歯にインプラントを入れたい |
| 治療方法 | インプラント 骨造成術(サイナスリフト) |
| 治療費 | 1,177,000円(税込) |
| 治療期間 | 8ヶ月 |
| 治療リスク |
|
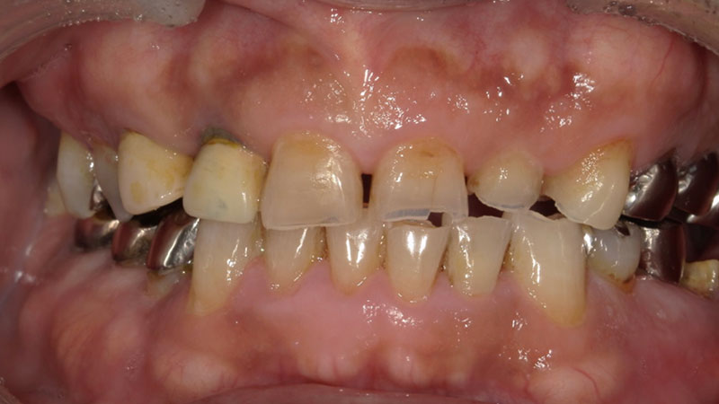
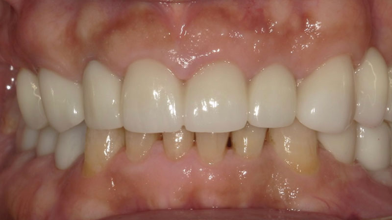
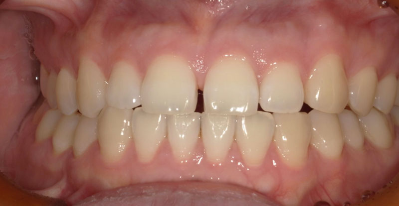
前歯のインプラント


前歯の痛みで来院された患者さま。
診査の結果、左上の犬歯が歯根破折しており保存は困難と判断し、抜歯後にインプラント治療を選択されました。
また治療にあたっては、
・歯周病で下がっていた歯ぐきの再建
・金属の目立つ被せ物をセラミックへやり替え
も治療しました。
前歯部の歯周外科は傷跡や歯ぐきの後退を最小限にする繊細な治療が必要ですが、経験豊富な歯科技工士さんと連携し、既存のセラミックとの色調再現もばっちりです。
インプラントのネジ穴(アクセスホール)も見えない位置に設計して、見た目の自然さとしっかり噛める機能性を両立しています。
治療後は「見た目も噛み心地も大満足!」と嬉しいお言葉をいただきました。
| 患者様 | 50代女性 |
|---|---|
| 主訴 | 前歯が痛い |
| 治療方法 | インプラント ジルコニアセラミック |
| 治療費 | ジルコニアセラミック費用:132,000円(税込) インプラント本体:165,000円(税込) 上部構造:198,000円(税込) ジルコニアセラミック ジルコニアアバットメント 手術検査費:12万円(税込) 骨造成:77,000円(税込) インプラント費用総額:572,000円(税込) |
| 治療期間 | 半年(約10回通院) |
| 治療リスク |
|
ホワイトニング
デュアルホワイトニング症例


デュアルホワイトニング症例をご紹介します。
ホワイトニングにはオフィスホワイトニングとホームホワイトニングに分けられます。
オフィスホワイトニングは医療ホワイトニングの一つで歯科医院に来院で施術を受けます。
ホームホワイトニングは専用のマウスピースに薬剤を入れて1日数時間はめるものになります。
デュアルホワイトニングとはオフィスとホームを併用する処置になります。
オフィスのいいところである短時間での漂白と、ホームのいいところである持続的な漂白が可能になります。
今回のように加齢で黄ばんだ頑固な着色も真っ白にできます。
デメリットとして2種類するので手間がかかります。
加齢による歯の黄ばみはクリーニングだけでは綺麗になりません。
また、今回のように歯にまだら模様の変色がある場合はホワイトニングによって目立たなくなります。
今回させていただいたオフィスホワイトニングは1ヶ月集中コースになります。
1ヶ月間通い放題(中2日空ける)の平日のみのお得なコースです。
短期間で一気に白くしたい方、平日に通いやすい方に向いているコースになります。
| 患者様 | 70代女性 |
|---|---|
| 主訴 | 全体的な黄ばみが気になる |
| 治療費 | ベーシックコース77,000円(税込) ホームホワイトニング16,500円(税込) 総額93,500円(税込) |
| 治療期間 | オフィスホワイトニング8回 ホームホワイトニング1ヶ月 |
| 治療リスク |
|
オフィスホワイトニング症例


オフィスホワイトニング症例をご紹介します。
今回させていただいたオフィスホワイトニングはプラチナコースになります。
通常のオフィスホワイトニングの3回コースをお得にできます。
また、シミ止めと歯を強くするコーティングもさせていただきます。
| 患者様 | 50代男性 |
|---|---|
| 主訴 | 歯を白くしたい |
| 治療費 | 総額44,000円(税込) ※当時の価格より現在は費用が上がっております |
| 治療期間 | オフィスホワイトニング3回 約1ヶ月 |
| 治療リスク |
|
セラミック治療
セラミックブリッジ症例


セラミック治療の症例をご紹介します。
前歯2本は抜歯し、セラミックのブリッジにされました。
今回は左上2番目は被蓋(噛み合わせが上下逆だったためブリッジを作製する際に正常被蓋にてセラミックを作製しています。
今回のように重度の歯周病の方はしっかりと歯周病治療をした上で長期的に安定する治療をさせていただいております。
患者さんもしっかり噛むことができ、審美性も改善されて大変満足されていました。
セラミックのメリットは色調再現性が高く、二次虫歯、歯周病が進行しにくくなります。
変色もほぼありません。
デメリットは保険外診療のため費用がかかること、金属を使っていないため割れる可能性があることです。
| 患者様 | 60代女性 |
|---|---|
| 主訴 | 歯の揺れが気になる |
| 治療費 | ジルコニアセラミッククラウン6本分:798,600円(税込) |
| 治療期間 | 1ヶ月 通院回数:4回 |
| 治療リスク |
|
ファイバーコア+ジルコニアセラミッククラウン


セラミック治療の症例をご紹介します。
元々入っていた保険の被せ物の色が気になっていたこと、根本が変色して透けていたことを気にされていた為、セラミッククラウンに変更されました。
2本の歯は神経治療をしていましたのでファイバーコアという歯に優しい土台に置き換えて変色部分も取り除いて型取りしています。
今回は2番目の歯は天然の歯なので色調をそこに合わせてセラミックを作製しています。
根本の変色もわからなく、患者さんも大変満足されていました。
| 患者様 | 60代女性 |
|---|---|
| 主訴 | 保険の被せ物の色が気になる 根本が変色して透けている |
| 治療費 | ファイバーコア2本分:11,000円(税込) ジルコニアセラミッククラウン2本分:264,000円(込み) 総治療費:275,000円(税込) |
| 治療期間 | 1ヶ月 通院回数:3回 |
| 治療リスク |
|
セラミックブリッジによる前歯の審美回復


噛み合わせによって右上2が動揺していた患者さまです。
歯周基本治療を行い経過を観察していましたが、状態の改善が見られず抜歯を決断されました。
治療の選択肢を丁寧にご説明した上で、今回はセラミックブリッジを選択。
抜歯と同時に仮歯を装着し、傷の治癒を待ってからセラミックの型取りを行いました。
また、この患者さまは噛み合わせによって時間破折やすり減りが起こり審美的な面も気にされていましたが、最終的には正常な歯並びに整えることができました。
見た目の自然さとしっかり噛める機能を両立し、大変ご満足いただいています。
| 患者様 | 50代男性 |
|---|---|
| 主訴 | 前歯が欠けた |
| 治療費 | ジルコニアセラミック費用:1歯132,000円(税込) ジルコニアブリッジ6歯総費用:726,000円(税込) |
| 治療期間 | 2ヶ月 通院回数:約5回 |
| 治療リスク |
|
ダイレクトボンディング
ダイレクトボンディング症例


すきっ歯に悩んで相談を受けました。
正中離開(真ん中の歯が離れている)という状態ですが、治療方針は大きく3パターンを提案させていただきました。
1:ダイレクトボンディング
2:ラミネートベニア(セラミック)
3:部分矯正(前歯のみを動かす)
患者さんは1のダイレクトボンディングを選択されました。
型取りなどの必要がないので希望があれば当日治療ができます。
今回患者さんは短期間で綺麗になったことで大変喜んでおられました。
| 患者様 | 20代男性 |
|---|---|
| 主訴 | すきっ歯が気になる |
| 治療費 | ダイレクトボンディング:1歯33,000円(税込) 総治療費:66,000円(税込) |
| 治療期間 | 1時間ほど 通院回数:1回 |
| 治療リスク |
|
アンチエイジング
ヒアルロン酸療法症例


ほうれい線が気になるとのことで今回施術しました。
ヒアルロン酸注射とはヒアルロン酸という天然由来の物質を皮下に注射することでシワやたるみを改善する治療です。
ヒアルロン酸はメスを使わずに短時間で施術ができることから患者さん満足度の高い処置です。
注射直後も効果を実感いただけますが、1週間ほどで馴染むとさらに効果を実感いただけます。
施術後多少の針を刺したところの出血はありますがすぐに止まるため、刺入点以外はメイクも可能です。
針を刺す痛みがありますが冷やすことで痛みを和らげます。
ヒアルロン酸には麻酔が含まれております。
効果は半年〜1年で、ほうれい線の他にもマリオネットライン、顎先、唇などに注射可能です。
| 患者様 | 40代女性 |
|---|---|
| 主訴 | ほうれい線が気になる |
| 施術 | ヒアルロン酸注射1.0cc |
| 治療費 | 初回費用:19,800円(税込) 2回目以降、追加:22,000円(税込) |
| 治療期間 | 1回20分 |
| 治療リスク |
|
ボツラックス症例


口腔周囲の筋肉にボツリヌストキシンを注入することにより筋肉をリラックスさせ、歯ぎしり・食いしばり・ガミースマイル(歯茎の露出)などの改善を行っております。
治療目的はあくまで食いしばりなどの改善が目的ですが女性にとって嬉しいのは筋肉がリラックスすることでエラ部分がほっそりします。
当院のボツラックスは韓国で一番使われているものになります。
効果は約半年から一年で、継続することで効果は長くなる傾向があります。
写真も約2週間後になりますが見た目がスッキリしています。
患者さんは食いしばりに悩んでの施術でしたが、定期検診に来た際に写真を撮らせていただき大変喜ばれていました。
| 患者様 | 30代女性 |
|---|---|
| 主訴 | エラ部分が気になる |
| 施術 | ボツラックス注射 |
| 治療費 | 両側:27,500円(税込) |
| 治療回数 | 1回 |
| 治療リスク |
|
リップアート
リップアート症例


唇の輪郭や血色を整えるために専用の色素を唇に定着させる施術です。
自然な血色感と立体感がプラスされ、ふっくらとした柔らかい印象に仕上がっています。
1回で大変満足されていますが、色の定着や長持ちさせるためには2回以上の施術をおすすめしております。
| 患者様 | 20代女性 |
|---|---|
| 主訴 | 唇の色味が気になる |
| 治療費 | 1回費用:22,000円(税込) ※モニター価格になります |
| 治療期間 | 1日 |
| 治療リスク |
|


















